Gigi bayi keropos umumnya terjadi pada gigi susu. Keberadaan gigi susu itu sangat penting, karena nantinya akan memberikan tempat bagi pertumbuhan gigi tetap/ gigi dewasa.
Gigi susu juga membantu bayi dalam mengunyah makanan dan membantu ia untuk dapat berbicara dengan baik.
Jumlah gigi susu pada anak umumnya terdapat 20 buah. Gigi tersebut terdiri atas empat gigi seri depan, empat gigi seri samping, empat gigi taring, dan delapan gigi geraham.
Melihat gigi bayi keropos tentunya membuat sebagai orang tua khawatir. Gigi merupakan bagian penting untuk menggigit, merobek makanan, memotong, menggiling dan mengunyah makanan yang ia konsumsi.
Untuk itu orang tua harus mengetahui apa penyebab gigi bayi bisa keropos dan bagaimana cara mengatasinya.
Dengan begitu maka tidak perlu panik dan segera mengambil tindakan yang cepat untuk mengatasi masalah pada sang buah hati tersebut.
Penyebab Gigi Bayi Keropos
Gigi bayi keropos secara umum bisa saja terjadi akibat timbunan plak makanan dan kurang asupan kalsium dan mineral.
Plak itu akan menjadi tempat bagi mikroorganisme, dan mikroorganisme itu akan mengeluarkan zat yang bersifat asam.
Bakteri yang tinggal didalam mulut akan mencerna makanan yang mengandung karbohidrat menjadi acid atau asam. Bakteri, asam, sisa makanan dan air liru akan menyatu pada plak dan akan menempel erat pada gigi sang buah hati.

Menurut Dr. Delvira Parinding, Gigi keropos terjadi karena suatu kerusakan pada lapisan gigi. Rusaknya lapisan gigi akibat produksi asam oleh bakteri atau kurangnya bahan pembentuk komponen gigi pada bayi.
Biasanya, pada anak pengeroposan gigi menjadi lebih cepat terjadi karena lapisan giginya belum sempurna seperti orang dewasa.
Pengeroposan gigi bayi dapat disebabkan oleh faktor-faktor berikut ini :
1. Penimbunan plak dan gula.
Gigi bayi keropos bisa disebabkan karena adanya penimbunan plak dan gula. Karena terlalu banyak makan manis dapat menyebabkan gigi keropos seperti roti, sereal, susu, kue dan permen
2. Asupan nutrisi anak.
Asupan nutrisi yang kurang baik bisa jadi penyebab gigi bayi keropos. Pastikan sang buah hati mendapat asupan nutrisi yang tepat agar ia sehat dan giginya pun sehat tercegah dari pengeroposan
3. Kebersihan gigi yang kurang terjaga.
Gigi bayi keropos juga bisa disebabkan karena kebersihan gigi buruk. Pastikan sang buah hati terjaga kebersihan giginya, seperti ajari ia menyikat gigi 2 hari sekali.
Baca: Cara membersihkan gigi bayi
4. Infeksi pada gigi sang buah hati.
Infeksi ini terjadi karena adanya luka atau karena sang buah hati mengkonsumsi sembarang makanan. Hal ini tentunya dapat membuat giginya menjadi keropos
5. Kurangnya kalsium saat hamil.
Biasanya ini yang sering terlewatkan oleh para bunda. Kurangnya kalsium saat hamil menyebabkan si kecil akan kekurangan kalsium juga baik untuk giginya maupun tulang pada si buah hati.
6. Cedera pada gigi dan gusi.
Sebagai contoh sang buah hati cedera pada bagian gusi saat ia bermain. Namun darahnya tidak keluar tapi menggumpal di dalam gusi. Penggumpalan itu dapat mempengaruhi warna gigi menjadi biru hingga kehitaman
7. Mengkonsumsi obat-obatan tertentu.
Obat yang mengandung zat besi dapat menimbulkan noda pada gigi si buah hati. Lalu antibiotic tetrasiklin yang dikonsumsi selama proses kehamilan dan saat menyusui berpengaruh kepada perubahan warna dan gigi keropos bayi.
8. Bawaan dari lahir.
Biasanya anak yang terlahir dalam kondisi kelebihan bilirubin dalam darahnya, berakibat pada warna gigi yang berubah menjadi kehijauan bahkan kekuningan.
Tanda-Tanda Gigi Bayi Keropos
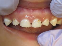
Secara umum gigi bayi keropos dapat terlihat dengan kondisi gigi berlubang, kehitaman, mahkota gigi yang tidak utuh, atau giginya lepas.
Jika gigi sang buah hati sudah keropos sebaiknya segera melakukan penanganan agar tidak menimbulkan masalah yang lebih serius.
Jika masalah pengeroposan gigi dibiarkan, bisa saja gigi sang buah hati mengalami rasa nyeri, infeksi dan pembekakan pada mulutnya.
Gigi susu yang keropos juga dapat menimbulkan gigi permanen tumbuh berjejal dan menjadi tidak rapih. Gigi susu yang lepas sebelum waktunya ia akan kehilangan perannya sebagai pemandu gigi permanen yang akan tumbuh nantinya.
Tips Mencegah Gigi Bayi Keropos
Meskipun gigi susu pada sang buah hati nantinya akan lepas. Kemudian digantikan dengan gigi tetap. Namun gigi keropos bayi tidak boleh di sepelekan karena dapat menyebabkan sumber penyakit pada sang buah hati.
Untuk itu sebaiknya orang tua tetap memeriksakan masalah tersebut ke dokter gigi untuk agar dapat diperiksa dan ditangani lebih lanjut. Berikut ini adalah beberapa tips menghindari gigi keropos bayi dari Dr. Delvira Parinding :
- Saat sang buah hati mulai tumbuh gigi sebaiknya saat itu juga untuk mengurangi ASI. Gantikan dengan variasi makanan padat yang mengandung nutrisi yang penting untuk pembentukan komponen gigi seperti buah-buahan, sayur-sayuran, kentang dll.
- Mengubah jadwal pemberian susu 15 menit lebih awal sebelum ia tidur untuk mencegah pengeroposan giginya. Setelah ia tidur bersihkan sisa susu pada gigi sang buah hati menggunakan lap yang telah dibasuh dengan air hangat. Lalu gantilah susu tersebut dengan air putih.
- Ajari si buah hati agar meminum susunya lewat gelas tidak lewat botol agar mengurangi risiko gigi keropos bayi.
- Hindari memberikan makanan yang berpotensi menyebabkan gigi berlubang, misalnya permen, kripik dan coklat.
- Ajari dan berikan contoh sejak dini pada sang buah hati untuk mulai menyikat gigi secara teratur minimal 2 kali sehari. Gunakan pasta gigi dan ukuran sikat gigi bayi.
- mengurangi sang buah hati menghisap empeng/dot dan jari saat ia telah berusia 2 tahun.
- memilih pasta gigi yang mengandung fluoride agar dapat mencegah pengeroposan gigi pada sang buah hati.
- Perbanyak asupan vitamin dan suplemen gigi, sehingga gigi anak menjadi sehat dan kuat. Flour dan kalsium sangat penting untuk pembentukan gigi dan tulang. Flour juga diperlukan untuk mengurangi timbulnya kerusakan dan mencegah karies.
- Agar kesehatan gigi maupun kesehatan fisik sang buah hati terjamin, rutinlah berkonsultasi ke dokter yang Anda percayai.
Mencegah Gigi Bayi Keropos dengan Memilih Pasta Gigi yang Tepat
Memilih pasta gigi yang tepat juga menjadi hal terpenting untuk menjaga kebersihan gigi sang buah hati. Bagi anak yang belum mau menggosok gigi, pembersihan gigi bisa dilakukan dengan menggunakan cotton bud basah.
Sedangkan bagi anak yang sudah mau menggosok giginya, pastikan pasta gigi yang dipakai menjaga kesehatan rongga mulut sang buah hati.
Sebaiknya pasta gigi yang dipilih mengandung protein baik untuk kesehatan gigi si buah hati, misalnya yang ada pada Enzim anak.
Didalamnya mengandung enzim-enzim aktif myloglucosidase, glucose oxidase, dan lactoperoxidase. Enzim ini bermanfaat untuk dapat mengembalikan kualitas air ludah sang buah hati agar dapat mengontrol keseimbangan bakteri didalam rongga mulut.
Meski rasanya manis ini tidak menyebabkan gigi berlubang karena terdapat xylitol yang justru merawat gigi pada sang buah hati.
Pasta gigi Enzim Anak dibuat tanpa detergen dan mengandung Enzim yang berfungsi untuk merawat gigi pada anak.
Diformulasikan untuk anak-anak dari bahan food grade, pasta gigi ini ramah bagi lingkungan dalam mulut anak dan aman bila tertelan. Pasta gigi ini bermanfaat untuk mencegah gigi bayi keropos sebelum waktunya. – Editted: 08/06/2021 by IDNarmadi.